;
Published on: November 2026
Indian Journal of Pharmacy Practice, 2026; 19(2):1-6.
Case Report| doi: 10.5530/ijopp.20250468

Authors and affiliation (s):

Vijay Ram1, Karthikesan Jayasri2,*, Gurumurthy Haripriya2, Aadalarasan Jeeva2

1Department of General Medicine, Government Medical College and Hospital, Orathur, Nagapattinam, Tamil Nadu, INDIA.

2Department of Pharmacy Practice, E.G.S. Pillay College of Pharmacy (MoU with Government Medical College and Hospital), Orathur, Nagapattinam, Tamil Nadu, INDIA.

ABSTRACT

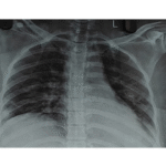
Dexamethasone is a potent synthetic glucocorticoid widely prescribed for its anti-inflammatory and immunosuppressive effects. However, long-term unsupervised use may lead to serious endocrine and infectious complications, especially in elderly individuals. We report the case of a 70-year-old male with chronic joint pain who self-medicated with over-the-counter dexamethasone (0.5 mg daily) for ten years. He developed classical Cushingoid features and presented acutely with breathlessness, abdominal pain, fever, and dysuria. Laboratory investigations showed severe hyperglycaemia, leucocytosis, renal impairment, and urinary tract infection-suggestive of systemic inflammation and sepsis. The patient was admitted to the intensive care unit and managed with broad-spectrum antibiotics, insulin infusion, and vasopressor support. He showed both clinical and biochemical improvement and was discharged after 12 days with a plan for gradual steroid tapering and endocrinology follow-up. This case highlights the dangers of long-term corticosteroid misuse without medical supervision, particularly in elderly populations, and underscores the need for early detection, pharmacist-led intervention, and structured tapering protocols.

Keywords: Iatrogenic Cushing’s Syndrome, Septic Shock, Corticosteroid Misuse, Over-the- Counter Drugs, Elderly, Pharmacovigilance.